i did this! laparoscopic (key hole) cystectomy surgery
not many knew what I was going through.
at first it was me and my doctor, then I brought the news to my husband then he then carried the news to his side of the family and I carried the news to my side of the family ... but.. no one did anything..
INCLUDING ME!
well, you live in an ignorant surrounding and you become ignorant too even though the doctor has diagnosed that you have a tiny circle/lump of excess skin outside of your uterus.. that thing is in your body! oh well.. I thought it will go off.. or it won't bother me and my marriage..
eventually..it did..
married for almost two years and not getting any news on the production part, that makes you wonder a little bit more.. it doesn't have to be you, other people outside the circle had already started wondering and making their own conclusions..
last year.
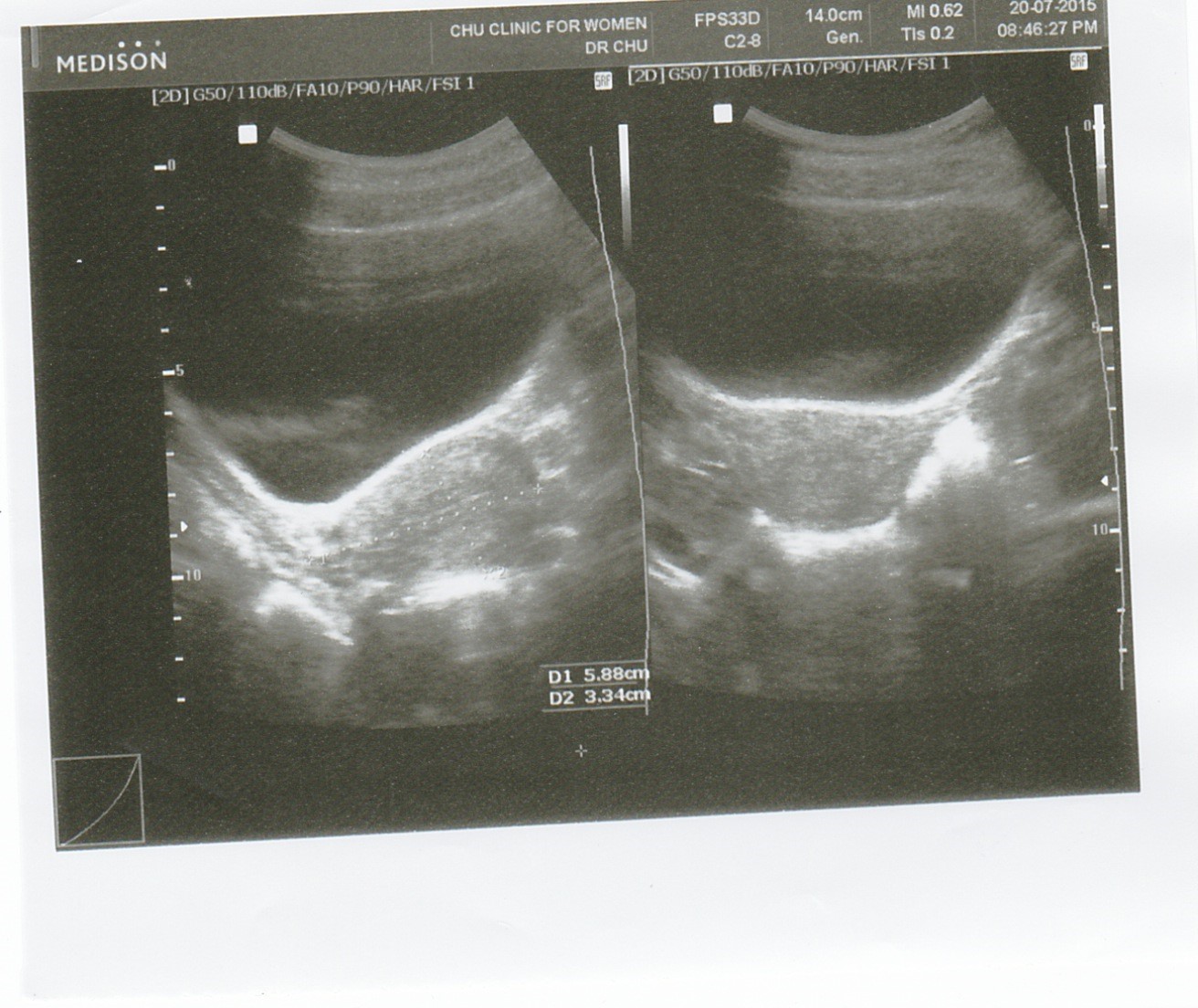
so my first time finding out that I had a cyst was not easy. I had vaginal discharge and horrible kind of itchiness. I think I practically hurt myself in the process of scratching. It was unbearable. Then, I told my husband about it and he brought me to a gynae nearby our house which was recommended by a family friend.
This is my first ultrasound photo. my bladder was full so it was easier to see the cyst (the doctor claimed). He gave me some cream to apply to my miss V and he also gave me some antibiotic to be taken once and he said my itchiness and yellow discharge will stop eventually.
guess what. it did not stop. it did not become worst either but it was just there - staining my panties and making my whole body and routines uncomfortable.
I decided to go see another doctor - a very famous clinic in JB. They checked and took some samples of the discharge, gave me this antibiotic to take for three days and also gave me some cream for my miss V. But this time, I had to insert the cream inside my miss V using a syringe like apparatus! Yes, I did it for one week and it worked. My itchiness were gone and so did my discharge.. and again this time they told me I had a cyst. The cyst is different in size now. Now it was bigger. maybe 4cm x 4cm.
After 3 weeks I had an appointment with them again. I went and got a papsmear done. The most annoying this about the test is that I did not the results and I went there like 2 times and called like 10 times to get the results.. I paid a lot for something to be inserted into my miss V and I did not get the results! (will you be happy?)
this year.
my husband and I began to look into this issue more seriously. My period began to be irregular and I started to have period pains. Sometimes my period wont come for 2 months and please don't remind me about the amount of pregnancy tests we bought in this 2 years. (a lot man! a lot!) the discharge comes and goes and I got used to it. I needed liners every minute! I also started having pelvic pain on my right side - that's where my cyst was. Endometriosis they called it.
this year.
What happened on the 1st of December 2016? Next post people... :)
![]() |
| I'm not in the UK but Malaysia will do too ryt? |
at first it was me and my doctor, then I brought the news to my husband then he then carried the news to his side of the family and I carried the news to my side of the family ... but.. no one did anything..
INCLUDING ME!
well, you live in an ignorant surrounding and you become ignorant too even though the doctor has diagnosed that you have a tiny circle/lump of excess skin outside of your uterus.. that thing is in your body! oh well.. I thought it will go off.. or it won't bother me and my marriage..
eventually..it did..
married for almost two years and not getting any news on the production part, that makes you wonder a little bit more.. it doesn't have to be you, other people outside the circle had already started wondering and making their own conclusions..
![]() |
| just so you know.. |
last year.
so my first time finding out that I had a cyst was not easy. I had vaginal discharge and horrible kind of itchiness. I think I practically hurt myself in the process of scratching. It was unbearable. Then, I told my husband about it and he brought me to a gynae nearby our house which was recommended by a family friend.
guess what. it did not stop. it did not become worst either but it was just there - staining my panties and making my whole body and routines uncomfortable.
I decided to go see another doctor - a very famous clinic in JB. They checked and took some samples of the discharge, gave me this antibiotic to take for three days and also gave me some cream for my miss V. But this time, I had to insert the cream inside my miss V using a syringe like apparatus! Yes, I did it for one week and it worked. My itchiness were gone and so did my discharge.. and again this time they told me I had a cyst. The cyst is different in size now. Now it was bigger. maybe 4cm x 4cm.
After 3 weeks I had an appointment with them again. I went and got a papsmear done. The most annoying this about the test is that I did not the results and I went there like 2 times and called like 10 times to get the results.. I paid a lot for something to be inserted into my miss V and I did not get the results! (will you be happy?)
this year.
my husband and I began to look into this issue more seriously. My period began to be irregular and I started to have period pains. Sometimes my period wont come for 2 months and please don't remind me about the amount of pregnancy tests we bought in this 2 years. (a lot man! a lot!) the discharge comes and goes and I got used to it. I needed liners every minute! I also started having pelvic pain on my right side - that's where my cyst was. Endometriosis they called it.
I tried everything. Well, not everything but I tried a few stuffs.. then, my husband brought me to a gynae back to his hometown in Kuantan. The best gynae there. His whole family went there. So, I went there and got myself checked. The doctor gave me some hormone meds to take for 2 months. He also told me to take that and try to conceive (TTC). Well, we did try. nothing happened.
![]() |
| there is the cyst |
this year.
november.
I was seriously disturbed with the fact I had this thing inside me. I wanted it removed and I wanted my own baby. So, my husband and I went to this private hospital nearby the school I teach. We met this gynae and explained our problem and he scanned me. He said there is an endometriosis on my right ovary but there are other two small cysts on my left ovary. He did not think twice but he decided that I should do this surgery. it's called the laparascopic surgery. But he warned me. He said if the cysts are bad, he would have to perform an open surgery which means he will cut me open. I said okay and I agreed. I know I have to do this. For me and my family's future. Since I am on holiday in December, I decided December is a good month for anything like this to be done. I can rest, It's the end of the year and I can start next year fresh! Also, I can start thinking about my own juniors.
![]() |
| this is what the doctor meant i guess. |
What happened on the 1st of December 2016? Next post people... :)







Comments
Post a Comment